中国原创二尖瓣反流介入器械ValveClamp探索性临床研究(CLAMP-1研究)结果近日被国际著名杂志《JACC:cardiovascular intervention》(IF=9.88)接受。该研究作者来自上海中山医院、北京阜外医院、四川华西医院,葛均波院士和美国前TCT主席 Martin Leon为文章通讯作者。该文章发表,代表着ValveClamp技术及其临床研究结果得到国际同行的认可,有助于向世界展示中国原创二尖瓣反流介入新技术及临床研究成果。
图1 MitraClip和ValveClamp工作原理图
该研究共完成12例患者,均为高龄、传统外科手术风险高危、二尖瓣重度反流患者;其中5例反流位于A2,1例A2、P2同时脱垂,4例P2脱垂,2例P2及邻近部位脱垂。手术成功率达到100%,所有患者术后反流均降到轻度或以下,无一例发生手术相关严重不良事件,显示出超高的有效性及安全性。至今所有病例随访6个月以上,所有患者二尖瓣反流均在2级以下。
在显示出较高安全性和有效性的同时,ValveClamp还有以下几个优点:
①手术操作简单,学习曲线短。医生熟悉器械之后,后期病例导管操作时间均在20分钟以内;
②捕获范围大,适应证广。对于瓣膜连枷非常厉害,瓣膜间歇很大患者,使用国外器械,难以同时捕获到两个瓣叶,无法完成手术,而使用ValveClamp仍可以完成手术(图2 A, B)。
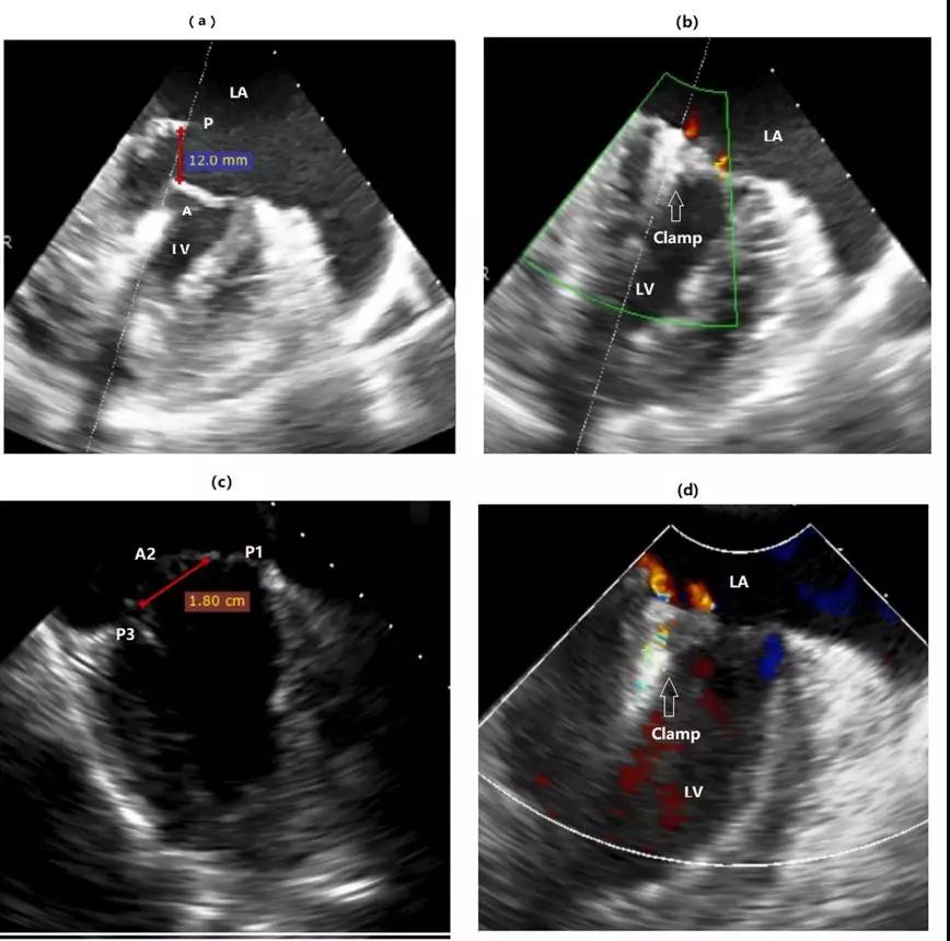
③夹合稳固,效应强大。至今无一例患者发生夹子单边或者双边脱落,显示出稳固夹合效果。所有病例1个夹子即可起到很好治疗效果,而国外同类器械40%病例需要植入2个以上夹子(图2 C, D)。图2显示2例挑战性病例。
图2 2例挑战性病例术前术后心超图像
目前,ValveClamp上市前临床研究(CLAMP-2研究,NCT 03869464)正在复旦大学附属中山医院、北京阜外医院、四川大学华西医院、浙江大学医学院附属第二医院、北京安贞医院、广东省人民医院等全国10家著名心血管中心进行。ValveClamp经股动脉的二代产品也在研发中,预计明年可以走向临床。ValveClamp的研发是我国二尖瓣反流介入治疗的重要里程碑,将推动二尖瓣反流介入治疗发展进入一个新阶段。
CCI心血管医生创新俱乐部
长按二维码关注我们
本期策划:沈雳
本文作者:潘文志
后期编辑:任燕龙 汪蕊
